金剛換體禪:乃《解脫大手印》境行灌頂金剛部法之一,為第一世多杰羌佛傳予十方菩薩成為正等正覺佛陀之至高大法。修金剛換體禪,必須是時輪金剛修到最高境界後方有資格聽聞這一絕密開頂成就大法。金剛換體禪之殊勝在於,其一,它可令修法者從灌頂學法到修法直至開頂,最多只需兩個小時。其二,它與密宗頗啊法開頂不同,頗啊法開頂後神識無法再度返回肉身,而金剛換體禪徹底超越了禪控,開頂後神識出入自如,可以遷升雲遊他方世界,上天入地或直趨佛國,亦可返回肉身,生死自由掌控。
金剛換體禪相關的文告訊息與文章匯集
1.《解脫大手印》—必須要看懂的前導文
2. 金剛換體禪-祿東贊法王神識出體取物
3.聖者不是自己和弟子說了算的,符合考核印證,不是聖者也是聖者;空洞佛學理論與真正的佛法是不同的領域
《解脫大手印》—必須要看懂的前導文
一般世人認為這些禪是至高無上的法,其實並不正確,這些等等禪都是行人們常聽說過的佛法中的禪修法,這些禪修法都與四禪八定分不開的,至少要經過此一階段。當然有的是比較好的法,但在《解脫大手印》本法中的禪修,那完全不是這些禪修法,而是捷徑精華、一日以代百年、真正至高的快捷佛法禪修,這些頂聖法的禪是什麼名字呢?
是金剛換體禪又名空頂禪,就拿它舉例說幾句吧!這不是破阿法能相提並論的。這一法連頭頂上的肉和骨頭、腦髓都要空掉,讓靈識出入自然,展道力可讓金剛丸空旋飛騰,任運自如,另外一個身體在肉體外修法參坐,直至空掉全身,無相無識,證悟法身如如不動宇宙同體的境界。
閱讀完整文章:《解脫大手印》—必須要看懂的前導文
金剛換體禪-祿東贊法王神識出體取物

祿東贊法王:祿東贊尊者第一世,即唐朝時迎請文成公主進藏的吐蕃宰相。他英勇果敢,智慧過人,深受藏王松贊乾布倚重。他更是一位大修行的尊者,歷世渡生,協助松贊乾布為西藏佛法的弘揚奠定了堅實的基礎。
H.H. 祿東贊尊者第四世慈仁嘉措仁波且,是第三世多杰羌佛的弟子,現任華藏寺第二任法王。早年遍訪拜學多師無果,後依止第三世多杰羌佛修學心地法門,於真如佛性中返本還源。受第三世多杰羌佛境行灌頂修學現量大圓滿,一個時辰內證入虹身境界。再修《解脫大手印》境行法之金剛換體禪,兩小時內開頂,經核磁共振儀檢測照片,見頂門骨肉腦髓大開約一英吋寬。自此神識出入肉體無礙,曾當著尊者仁波且們展顯了神識取物聖量。已四大皆空、明心見性、徹證真如。祿東贊法王公開發願效學第三世多杰羌佛願力,今生只利益眾生,絕不收受任何供養,他說到做到。如此聖潔德境,當今世界的活佛法師中實難尋找。祿東贊法王是經七師十證公開考試,現場證實為合格的碩士道師資聖德。第三世多杰羌佛對他說:“祿東贊啊,祿東贊,你就是個懶蟬子,獨行獨步,證到了碩士道師資,卻只管自己修持,不與人交往,應該改改這毛病,否則你說的要追上莫知仁波且就成空話了。”

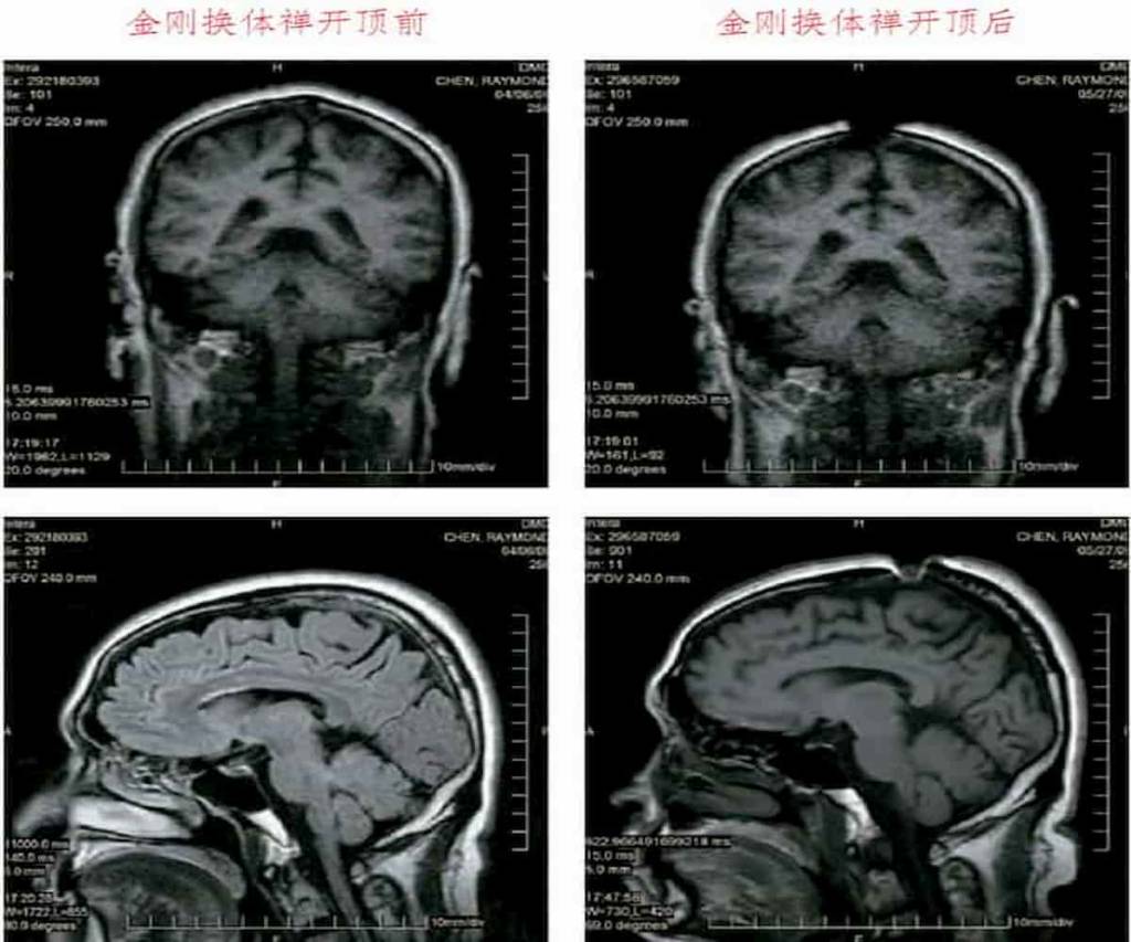
這是祿東贊法王修境行法“金剛換體禪”前後,MRI核磁共振儀腦斷層掃瞄檢測照片。可以清楚看見,開頂後,頭頂大樂輪門處的頭骨、皮層和肉、腦髓裂開約一英吋寬。

金剛換體禪:乃《解脫大手印》境行灌頂金剛部法之一,為第一世多杰羌佛傳予十方菩薩成為正等正覺佛陀之至高大法。修金剛換體禪,必須是時輪金剛修到最高境界後方有資格聽聞這一絕密開頂成就大法。金剛換體禪之殊勝在於,其一,它可令修法者從灌頂學法到修法直至開頂,最多只需兩個小時。其二,它與密宗頗啊法開頂不同,頗啊法開頂後神識無法再度返回肉身,而金剛換體禪徹底超越了禪控,開頂後神識出入自如,可以遷升雲遊他方世界,上天入地或直趨佛國,亦可返回肉身,生死自由掌控。
祿東贊法王修金剛換體禪令神識出體取物
2009 年,在一場法會中,行人們提出金剛換體禪神識外用的事,第三世多杰羌佛對祿東贊法王說:“你這懶蟬子什麼也不做,你就給大家做一點事吧。”當下祿東贊法王合掌恭敬白佛言:“慚愧,弟子無能,我就給大家做一個神識外用吧。”於是祿東贊法王當場修法展顯金剛換體禪聖力,神識外用取物。一顆金剛丸被當眾放入綠色法缽中,眾人將法缽請入法帳,數十人圍坐法帳四周,目不轉睛地看住法缽和金剛丸,不讓任何人靠近。祿東贊法王坐在離法帳約兩丈遠的草地上修法,起法後幾分鐘,突然一道靈光飛入法帳,金剛丸頓時不見了,就這樣到了兩丈遠處的祿東贊法王手中!四座震駭! 【神識取物詳情見《千年難見的真佛法現前》DVD 實況錄像。




金剛換體禪-祿東贊法王神識出體取物 一文轉載自《無上珍寶之福音》
聖者不是自己和弟子說了算的,符合考核印證,不是聖者也是聖者;空洞佛學理論與真正的佛法是不同的領域
當然,能比較穩定的出體的法,神識出體的法,就是“泥丸道果”。泥丸道果,他是成為三善道裡面的天人的,所以從泥丸宮而開頂,那他這個神識不同的,他能出能收的,能出來,又能清楚地回去,又回到身上。當然,更厲害的呢,就是“金剛換體禪”,能出又能收回去,就是說,出來以後,體外修法,在體外來修自己的功課、練自己的功、參自己的禪修等等一系列,或者修自己的本尊完美法。
閱讀完整文章: 聖者不是自己和弟子說了算的,符合考核印證,不是聖者也是聖者;空洞佛學理論與真正的佛法是不同的領域
#第三世多杰羌佛 #解脫大手印 #金剛換體禪 #祿東贊尊者 #祿東贊法王 #學佛新生活
分類:佛法聖蹟



Reblogged this on 了諦.
讚Liked by 1 person
金剛換體禪:乃《解脫大手印》境行灌頂金剛部法之一,為第一世多杰羌佛傳予十方菩薩成為正等正覺佛陀之至高大法。修金剛換體禪,必須是時輪金剛修到最高境界後方有資格聽聞這一絕密開頂成就大法。金剛換體禪之殊勝在於,其一,它可令修法者從灌頂學法到修法直至開頂,最多只需兩個小時。其二,它與密宗頗啊法開頂不同,頗啊法開頂後神識無法再度返回肉身,而金剛換體禪徹底超越了禪控,開頂後神識出入自如,可以遷升雲遊他方世界,上天入地或直趨佛國,亦可返回肉身,生死自由掌控。
讚Liked by 1 person